Prothèse complète fixe sur implants
Un implant dentaire est une vis qui est insérée dans l’os alvéolaire, soit l’os qui supporte les dents. Il joue le rôle de «racine dentaire artificielle» pouvant accueillir une prothèse, dès lors désignée comme «prothèse implanto-portée». Lorsque l’implant est stable dans l’os de la mâchoire, la prothèse est installée sur celui-ci. Ce genre de prothèse peut être fixé de façon permanente à l’implant.
La liste suivante traite uniquement des prothèses fixes sur un ou plusieurs implants dentaires:
- Implant unitaire: la prothèse est une simple couronne artificielle qui vient se visser sur un pilier, lui-même vissé dans l’implant. Il est utilisé pour le remplacement d’une seule dent, ou parfois de quelques dents qui peuvent être supportées adéquatement à l’aide d’un seul implant;
- Le pont : Il est en général utilisé pour remplacer 3 à 6 dents. Il est utilisé lorsque les dents naturelles adjacentes ne sont pas en assez bonne condition ou sont en mauvaise position pour supporter un pont fixe conventionnel. Le pont sur implants est une solution fixe intéressante lorsque plusieurs dents sont absentes d’un même côté d’une arcade ou pour remplacer plusieurs dents à l’avant.
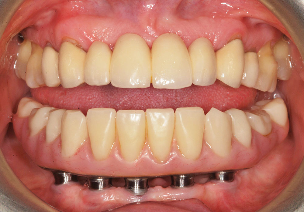
- Prothèse fixe sur 5-6-7-8-10 implants : cette technique est utilisée pour installer de façon permanente une prothèse dentaire complète (dentier). Bien que quatre implants dentaires puissent être suffisants pour supporter une prothèse complète, surtout avec la technique All- on-4®, il est parfois indiqué de procéder avec l’insertion de cinq, six, huit ou même dix implants dans l’os alvéolaire pour supporter une telle prothèse. Les facteurs qui ont le plus d’influence pour déterminer le nombre d’implants nécessaires sont la qualité et la quantité de la substance osseuse, la stabilité recherchée et la stimulation de l’os alvéolaire. Habituellement, un plus grand nombre d’implants sera nécessaire si :
– la quantité d’os est insuffisante ou la qualité de l’os n’est pas optimale;
– la stabilité de la prothèse est une caractéristique importante pour vous.
Il est plus fréquent d’utiliser huit implants et plus pour supporter une prothèse complète à la mâchoire du haut qu’à celle du bas. Les prothèses fixées à la mâchoire du bas requièrent plus rarement l’utilisation de plus de six implants.
- La technologie All-on-4® : cette technique permet de soutenir une prothèse dentaire complète sur quatre implants, tant au maxillaire qu’à la mandibule. Le patient doit être complètement édenté sur une ou deux mâchoires pour bénéficier de cette technique. La technique peut être utilisée même avec un faible volume osseux au niveau des mâchoires ; il est donc rare de devoir recourir à une greffe osseuse au préalable. Cette technique consiste en l’insertion des deux implants postérieurs à un angle de 45 degrés dans l’os de la mâchoire, ce qui leur confère une plus grande stabilité. L’installation des implants et de la prothèse s’effectue en une seule visite au cabinet dentaire. Par conséquent, la technique All-on-4® est moins invasive et la convalescence est plus courte que pour d’autres plans de traitement. Le coût de ce plan de traitement peut être moins élevé en fonction du nombre d’implants nécessaires ;
- Prothèse amovible sur implants : il existe également des prothèses amovibles sur implants, c’est-à-dire des dentiers qui viennent s’accrocher à des implants afin de les rendre plus stables en bouche que les dentiers ordinaires . Ces prothèses peuvent être enlevées facilement afin d’être nettoyées.
Elles peuvent être installées sur 2 implants avec des attaches de type « boules », comme les boutons-pression sur les vêtements, ou sur des barres métalliques, qui elles sont installées sur de 4 à 6 implants. Il est à noter qu’il existe un grand nombre de design de barres sur le marché.
Avantages
- La prothèse fixe sur implant vous permet de retrouver une fonction masticatoire naturelle tout en améliorant l’esthétique de votre sourire et l’harmonie de votre visage. Une prothèse fixe est confortable et discrète en bouche, car aucun frottement désagréable n’est engendré par la prothèse comme dans le cas des prothèses amovibles non fixées par des implants. Habituellement, une prothèse fixée à la mâchoire supérieure avec des implants ne recouvre pas le palais, ce qui la rend moins encombrante, ne gêne pas l’élocution et n’altère pas le goût des aliments;
- Il existe un très faible risque de rejet des implants par le corps humain, car le titane, le matériau le plus utilisé pour leur fabrication, est biocompatible. Cela se traduit par un très haut taux de succès du plan de traitement;
- Une prothèse implanto-portée fixe est la solution à long terme la plus permanente, fiable et durable pour le remplacement d’une ou plusieurs dents. Une fois l’ostéointégration terminée, les implants peuvent rester dans l’os pendant toute une vie;
- La prothèse qui vient se fixer aux implants peut être remplacée lorsqu’elle est très abîmée, ce qui arrive après plusieurs années d’utilisation normale. La meilleure personne pour vérifier l’état de votre prothèse est votre professionnel de la santé buccodentaire. Le remplacement nécessite des frais additionnels, mais qui sont moindres que ceux requis pour l’installation d’implants dans l’os de la mâchoire;
- L’installation d’implants dentaires dans l’os alvéolaire joue un rôle protecteur de l’os en freinant la résorption de celui-ci. À l’inverse, les prothèses amovibles non fixées à des implants ne sollicitent pas l’os alvéolaire, lequel se résorbe peu à peu;
- L’utilisation d’implants dentaires permet de répartir les forces masticatoires de façon égale entre les implants et les structures saines adjacentes, ce qui aide à diminuer le stress subi par ces structures et à maximiser leur préservation;
- L’installation d’une prothèse fixe sur implant ne requiert pas de modifications à la structure des dents saines adjacentes (ex. : le meulage d’une partie de l’émail), comme c’est le cas pour un pont traditionnel non fixé sur implant;
- Les dents de la prothèse s’harmonisent complètement avec la dentition restante (prothèse partielle) ou l’ancienne dentition (prothèse complète) par la couleur et la forme qui leur sont données;
- La prothèse implanto-portée fixe est très stable, ce qui vous évite de devoir faire appel à un adhésif (colle) qui doit parfois être utilisé avec une prothèse amovible;
- À la suite de votre traitement, vous n’êtes pas contraint de changer votre diète de façon permanente, comme c’est souvent le cas avec des prothèses amovibles non fixées par des implants;
- Les implants et la prothèse qui y est fixée ne peuvent pas être affectés par la carie dentaire.
Désavantages
- Une prothèse fixe sur implant nécessite un investissement d’argent important par rapport à d’autres traitements alternatifs, tels que les prothèses amovibles non fixées sur des implants dentaires. Par contre, il faut garder en tête qu’elle représente un bon investissement par rapport à sa longue durée de vie;
- Les délais requis pour compléter le plan de traitement d’une prothèse fixe sur implant sont beaucoup plus longs que la période nécessaire pour fabriquer un dentier ou une prothèse partielle non fixée sur des implants dentaires;
- Étant donné qu’une procédure chirurgicale est requise pour l’installation d’une prothèse fixe sur implant, le plan de traitement est plus invasif que d’autres traitements;
- Les implants dentaires peuvent être contre-indiqués pour certains patients avec des conditions médicales ou anatomiques particulières;
- Un rejet des implants de même qu’une implantite (une infection des tissus mous et durs qui entourent les implants ostéointégrés) peuvent survenir à la suite de la mise en bouche des implants.
Risques et conséquences de ne pas traiter
- Changements indésirables dans les caractéristiques de votre visage, de vos traits et de votre fonction masticatoire;
- Résorption irréversible de l’os de la mâchoire là où une ou plusieurs dents sont extraites ou déjà manquantes;
- Déplacement des dents restantes à l’arcade opposée si l’espace laissé libre par des dents manquantes n’est pas rapidement comblé par une prothèse.
- Une greffe osseuse peut être requise avant de procéder à la pose des implants;
- Les implants dentaires sont installés dans l’os de la mâchoire selon une technique adaptée au nombre de dents à remplacer et à l’état de votre mâchoire (voir la section sur les implants dentaires);
- Dans le cas d’une prothèse déjà existante, celle-ci est modifiée afin qu’elle puisse être portée sans nuire à la guérison des implants, ou une prothèse temporaire est préparée à l’aide de modèles pris de vos dents et de vos mâchoires (si nécessaire);
- Un délai de six mois doit être respecté afin d’assurer une guérison complète;
- Les piliers sont ajoutés aux implants. La nouvelle prothèse est installée ou la prothèse actuelle est modifiée pour bien s’adapter aux implants.
Entretien
Tout comme les dents naturelles, les implants dentaires nécessitent un brossage régulier et l’utilisation de la soie dentaire afin d’éliminer la plaque dentaire responsable des réactions inflammatoires pouvant nuire à l’intégration et à la longévité des implants. L’utilisation d’une brossette interdentaire est également fortement recommandée.Une visite régulière dans un cabinet de dentiste (une à deux fois par année, selon les recommandations de votre dentiste) pour un nettoyage des implants (prophylaxie) et un examen complet est également requise pour assurer la durabilité des implants et des prothèses.
Coût
Les coûts varient beaucoup selon la technique utilisée, le nombre d’implants nécessaires, le type de prothèse finale, etc.
Une partie des frais pour la fabrication d’une prothèse fixe sur implant peut être remboursée en partie ou en totalité par certaines assurances dentaires.
Restrictions
Les contre-indications les plus fréquentes sont :
Les coûts varient beaucoup selon la technique utilisée, le nombre d’implants nécessaires, le type de prothèse finale, etc.
Une partie des frais pour la fabrication d’une prothèse fixe sur implant peut être remboursée en partie ou en totalité par certaines assurances dentaires.
- Les allergies majeures;
- Un âge précoce;
- Une transplantation d’organe;
- Une maladie immunodépressive ou auto-immune;
- L’ostéoporose;
- Les cancers (en évolution ou qui ont été traités par certains types de médicaments ou traitements);
- Les maladies cardiovasculaires;
- Le tabagisme, la toxicomanie et l’alcoolisme;
- La grossesse;
- Le diabète mal contrôlé;
- La prise d’anticoagulants;
- Certains problèmes psychiatriques non traités;
- Le bruxisme (grincement des dents);
- Une anatomie défavorable à l’implantologie;
- Une mauvaise hygiène buccodentaire ou une infection;
- Certaines malocclusions dentaires.
Il est donc important de connaître votre condition de santé buccodentaire et physique ainsi que toutes les maladies qui vous ont été diagnostiquées dans le passé avant votre consultation initiale.
Dépendamment de votre condition médicale, d’autres traitements peuvent être possibles, tels que :
- Une prothèse amovible sans implant (dentier ou partiel);
- Une prothèse amovible sur implant;
- Toute autre solution proposée par votre professionnel de la santé buccodentaire.